Dagboek 2015

Orthopedie in het MUMC, we komen eraan (2 rontgenfoto’s)

Orthopedie in het MUMC bezoeken op 24 maart 2015.

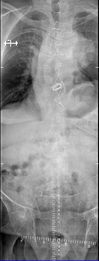
orthopedie, scoliose, funs lemmens, marfan, MUMC, willems orthopedie, kyphoscoliose, funs lemmens, marfan, MUMC, aortaklep We kunnen terecht bij ene dr. Willems gespecialiseerd in wervelkolommen. Eerst moeten we foto’s van de rug laten maken. Deze lukken de eerste keer niet. De 2e sessie is iets beter maar de foto van de zijkant is nog steeds niet al te best. Of dat wat te maken heeft met de bouw van mij?

Omdat ik de foto’s ook voor mezelf wil hebben, zetten ze voor € 10,- de foto’s op dvd. Best wel aardig dat het zo kan. Ik heb 2 foto’s gekopieerd zodat deze in dit bericht geplaatst kunnen worden. Nu zie je pas goed dat de scoliose boven in de kolom (zie achteraanzicht foto links) best mee valt maar de Kyphoscoliose onder in de wervel (foto zijaanzicht foto rechts) wel heel groot is. Op de foto rechts zie je ook goed de kunst aortaklep (de witte schijf die op een muntje lijkt) en op de linkerfoto zie je de draadjes die om het borstbeen zitten.

Op naar orthopedie.

Dr. Willems bekijkt de foto’s en komt tot de volgende conclusies:

1. De wervels komen gelukkig nog niet tegen elkaar aan.
2. De pijn zit steeds in de lange rugspieren omdat ze constant op spanning (overbelast) staan. De spieren regelmatig los     proberen te maken door de fysiotherapeut en door de chiropractie zal al voor een paar dagen verlichting kunnen zorgen.Die ervaring heb ik al. Ga regelmatig naar Chiropractie Daams te Stein. Ook hij weet heel wat van orthopedie en pijnverlichting.
3. Regelmatig therapie en vooral in warm water bewegen is goed voor de spieren. Ook dat doe ik al.
4. Tegen de pijn in mijn rug en rechterbeen kunnen ze me pijnstillers geven.
5. Om pijn proberen te voorkomen kan er een korset worden aangemeten. Dit ter ondersteuning van mijn spieren.Moet het niet de hele dag dragen anders worden de spieren weer te slap.
6. Een laatste optie maar is een rugoperatie. Maar dit is echt als niets anders meer helpt. De risico’s zijn heel groot. De bochel wordt dan weliswaar kleiner en de pijn minder. Het heeft geen zin om verdere details van een operatie te bespreken omdat dit voorlopig niet zal gebeuren.

We besluiten samen om een korset aan te laten meten. Ik krijg daar meteen een verwijzing voor.
Als het goed is wordt er in week 14 een begin gemaakt met het aanmeten hiervan. Dit wordt gedaan door ene Jos Krul. Mocht het klaar zijn dan zal ik dat zeker laten zie en weer iets schrijven.

Moet weer terug komen bij orthopedie als de pijn erger wordt of als er andere problemen zijn.